分享赴美试管、助孕的真实旅程,记录孕育过程中的点滴与感悟,为您提供专业的备孕指导与支持。赴美妈咪帮两年多来,已成功帮助上百对客户赴美试管、助孕。虽然我们合作的美国试管医院、助孕机构每天都有很多成功案例,但我们更希望从客户的真实经历出发,讲述他们在试管婴儿旅途中的酸甜苦辣,以及我们与客户并肩作战的温馨瞬间。我们关注经期排卵期预测、孕程管理、好孕医院、好孕圈子、备孕知识宝库、礼品中心、图片服务迁移、三大备孕神器重装上线以及好孕日记与实物商城,旨在为您提供全方位的备孕服务。

试管婴儿app是由播种网为有试管需求的家庭打造的一款综合性App,涵盖百科知识、报告解读、用药提醒、医院医生推荐等,已帮助000多个家庭成功迎来试管宝宝。我们拥有丰富的试管社区,汇集众多姐妹分享试管心得,让您感受到试管并非孤独旅程。通过直播频道,您可以足不出户了解各医院及试管知识。我们还定期举办试管活动,如公益讲座、助孕及医院体验营。App首页已改版,支持自定义工具,发帖类型整合,增加视频贴。试管日记和试管账本也进行了优化,让您可以更方便地记录和分享您的试管日常。如果您正考虑代生或代怀,了解这些信息将大有裨益。
记录生活、观察日记、随感日记是个人成长的重要部分。在代生的旅程中,详细记录生活中的点滴,观察身体的变化,抒发内心的感悟,对于心态的调整和应对高龄供卵的挑战至关重要。这些日记不仅是个人经历的梳理,更是对未来代孕套餐的一种情感准备。
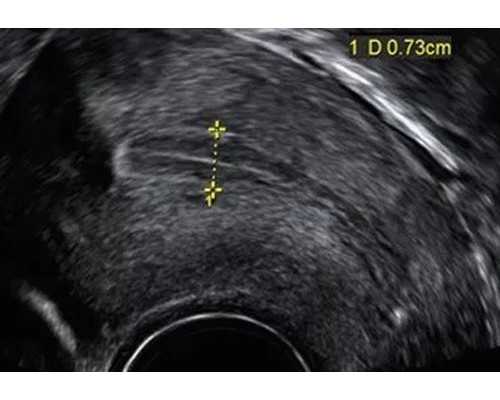
在试管婴儿的旅程中,我们常常会记录下每一个重要的时刻。从最初的期待到最终的喜悦,每一个小小的进步都值得珍藏。即使只是一个0.6厘米的胚胎,也承载着父母满满的爱和希望。通过记录,不仅能增强与胎宝宝的交流互动,更能减轻孕期的焦虑情绪。您可能会发现,怀孕让您变得更加坚韧和有毅力。如果您在考虑代生女孩,这些记录也会为您提供宝贵的参考。
中国许多家庭虽然了解美国试管婴儿的成功率高,或泰国试管婴儿的经济实惠,却可能忽略了日本在试管婴儿技术上的强大实力。例如,一位37岁女士在日本东京加藤医院的真实试管婴儿案例,分享了她在多年未成功怀孕后,在日本寻求助孕的经历。我们希望每个人都能拥有好的怀孕率。
标签: